A escoliose idiopática é a forma mais comum de escoliose e pode ser vista em 2 a 4% das crianças entre as idades de 10 e 16 anos.
O diagnóstico precoce é muito importante para prevenir a progressão da curva.
Tipos de tratamento
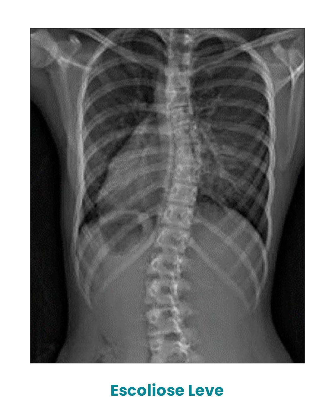
Após o diagnóstico, através de um simples Raio-X da coluna vertebral, podemos classificá-la em três tipos de acordo com o ângulo de Cobb.

Quando o ângulo de Cobb está entre 10o e 20 o estamos diante de uma escoliose leve, comumente tratável com exercícios fisioterapêuticos específicos para escoliose.
Ângulo entre 25o e 45o, escoliose moderada, exige a utilização de coletes confeccionados de forma personalizada, além de exercícios fisioterapêuticos específicos para escoliose.
Quando este ângulo ultrapassa os 50o, o caso é denominado de escoliose grave, sendo normalmente necessária à sua correção através de cirurgia.









